Adult orthodontics
大人の矯正治療
About
大人の矯正治療とは

最近では、大人の方でも矯正治療を受けられる方が増えてきました。お子さんが矯正治療で歯並びや口元の印象が大きく変わっていくのをご覧になって、お子さんと一緒に矯正治療をはじめられるお母様もいらっしゃいます。 お口の健康状態が保たれていて、心身ともに健康な方であれば、いくつからでも治療は可能です。
矯正治療に年齢制限はある?
原則として、むし歯や歯周病が管理されており、心身が健康な方であれば、矯正治療に年齢制限はありません。私が以前に矯正治療を担当した方の中には60才以上の方もおり、治療には積極的に協力していただき、治療後は大変喜んでいただけました。これまで矯正治療を迷っていた方や、矯正治療をしたかったが事情があってできなかった方など、あきらめる必要はありません。お気軽にご相談ください。
Cautionary
points
気をつけたいポイント

お口の健康が保たれていること
矯正治療を行うためには、むし歯や歯周病の状態がしっかり管理されていることが最低条件となります。高齢の方でも、残っている歯の状態がある程度健康に保たれていれば、矯正治療は可能です。重度の歯周炎がある場合には、歯周病の専門医をご紹介し、連携して治療計画を立案していきます。さらに矯正治療中は、当院の歯科衛生士が中心となって、口腔衛生管理を行います。
心身の状態が健康であること
矯正治療は治療期間がかかることもあり、少なからず心身に負担がかかる場合もあります。矯正治療よりも、別の治療を優先させたほうがよい場合には、そちらを先に行うべきでしょう。
Orthodontic
anchoring screw
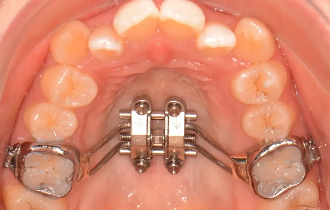
歯科矯正用アンカースクリュー
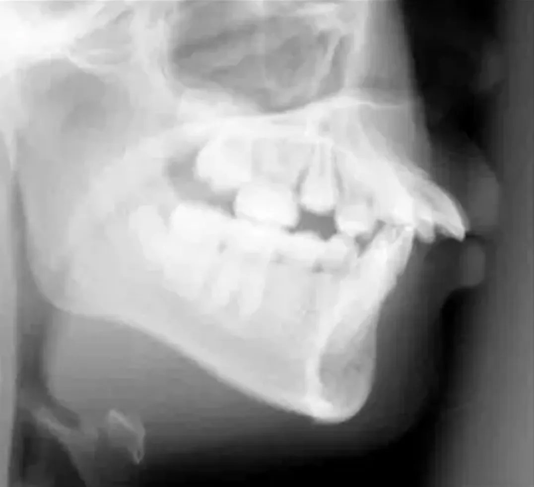
当院では、全ての永久歯が生え揃ってからの本格矯正治療(永久歯列期、主に12才以降~成人以降)を行う患者様に対して、歯科矯正用アンカースクリューを積極的に採用しております。
*処置の際は、埋入部位に局所麻酔を行いますので、痛みはほぼありません。処置後は、鎮痛薬(痛み止め)と抗菌薬(化膿止め)の服用、ブラッシング、うがい薬の使用してお口の中を清潔に保っていただくようお願い致します。


頬側に埋入したアンカースクリュー

口蓋正中に埋入したアンカースクリュー
パラタル・レバー・アーム・システム
(PLAS)
SHU_lider

MSE<Maxillary Skeletal Expander>
Tooth extraction
抜歯について
「矯正治療のために健康な歯を抜くこともあるんですか?」患者さんから多くあるご質問のひとつです。歯を抜くのはどなたでもな避けたいものですし、一度抜いた歯は二度と生えてきません。 歯科医師の立場としても、抜かないで矯正治療できるなら、それに越したことはないと考えております。当院では、抜歯の必要性については精密検査に基づいて慎重に検討し、治療の計画を作成しています。
デコボコの歯並びや出っ歯などの原因のひとつとして、永久歯の1本1本が大きすぎることが挙げられます。例えば、あなたご自身の上顎の歯が平均的な大きさに比べて、1本につき1mmずつ大きかった場合は、上顎14本×1mmで合計14mm、おおよそ2本分の歯の並ぶスペースが足りないことになります。土台となる顎骨に十分なスペースが確保できない場合、歯がうまく並びきることができず、デコボコの歯並びや出っ歯の状態になってしまいます。
歯を並べるスペースを確保するため、歯を抜かずに矯正装置をつけて顎を拡大すれば、実際のところ歯を並べることだけは可能です。しかし患者さんによっては、さらに口元が突き出てしまい、口が閉じにくくなったりする場合もあります。また、無理な拡大は治療後のかみ合わせの安定性にも関わってきます。

矯正治療にともなう一般的なリスク・副作用
- 矯正治療の一般的な治療費は60万~150万円、一般的な治療期間は2~3年、一般的な治療回数は24~36回となります。使用する装置、症状や治療の進行状況などにより変化しますので、参考程度にお考えいただき、詳細は歯科医師にご確認ください。
- 機能性や審美性を重視するため、公的健康保険対象外の自費診療となり、保険診療よりも高額になります。
- 最初は矯正装置による不快感、痛みなどがあります。数日から1~2週間で慣れることが多いです。
- 治療期間は症例により異なりますが、成人矯正や永久歯がすべて生えそろっている場合は、一般的に1年半~3年を要します。小児矯正においては、混合歯列期(乳歯と永久歯が混在する時期)に行なう第1期治療で1~2年、永久歯がすべて生えそろったあとに行なう第2期治療で1~2年半を要することがあります。
- 歯の動き方には個人差があるため、治療期間が予想より長期化することがあります。
- 装置や顎間ゴムの扱い方、定期的な通院など、矯正治療では患者さまのご協力がたいへん重要であり、それらが治療結果や治療期間に影響します。
- 治療中は、装置がついているため歯が磨きにくくなります。虫歯や歯周病のリスクが高まるので、丁寧な歯磨きや定期メンテナンスの受診が大切です。また、歯が動くことで見えなかった虫歯が見えるようになることもあります。
- 歯を動かすことにより歯根が吸収され、短くなることがあります。また、歯肉が痩せて下がることがあります。
- ごくまれに、歯が骨と癒着していて歯が動かないことがあります。
- ごくまれに、歯を動かすことで神経に障害を与え、神経が壊死することがあります。
- 治療中に金属などのアレルギー症状が出ることがあります。
- 治療中に、「顎関節で音が鳴る、顎が痛い、口をあけにくい」などの顎関節症状が出ることがあります。
- 問題が生じた場合、当初の治療計画を変更することがあります。
- 歯の形状の修正や、噛み合わせの微調整を行なうことがあります。
- 矯正装置を誤飲する可能性があります。
- 装置を外すときに、エナメル質に微小な亀裂が入る可能性や、補綴物(被せ物など)の一部が破損することがあります。
- 装置を外したあと、保定装置を指示どおりに使用しないと後戻りが生じる可能性が高くなります。
- 装置を外したあと、現在の噛み合わせに合わせて補綴物(被せ物など)の作製や虫歯治療などをやり直す可能性があります。
- 顎の成長発育により、歯並びや噛み合わせが変化する可能性があります。
- 治療後に、親知らずの影響で歯並びや噛み合わせが変化する可能性があります。
- 加齢や歯周病などにより、歯並びや噛み合わせが変化することがあります。
- 矯正治療は、一度始めると元の状態に戻すことが難しくなります。
歯科矯正用アンカースクリューによる矯正治療にともなう一般的なリスク・副作用
- 公的健康保険対象となる使用方法と、公的健康保険対象外の自費診療となる使用方法があり、自費診療となる場合は保険診療よりも高額になります。
- 骨と化学的な結合をしないため、患者さまの骨の状態や口腔衛生状態によっては脱落することがあります。
- 脱落した場合は再埋入を行なうことがあります。脱落部分の骨の穴が回復するまで数ヵ月の時間を要するため、別の部分に埋め込むことがあります。
- 歯科矯正用アンカースクリューは骨に埋まっていますが、その頭部は歯肉の外にあるため、ケアを怠ると骨に感染することがあります。
- 歯科矯正用アンカースクリューは歯根の間に埋入されることが多いため、埋入時に歯根を傷つけることがあります。




