Pediatric
orthodontics
子どもの矯正治療
Period
子供の時期の矯正治療をいつから始めるか?
判断する時期は?
当院の基本方針としては、重度のかみ合わせズレがある場合を除いて、乳歯列期(永久歯がまだ生えておらす、乳歯のみ生え揃っている時期)での治療は行いません。治療期間が長期化することで、患者様の負担が増え、治療の効率が良くないというのが主な理由です。必要な時期に必要な治療を最小限行うことが望ましいと考えています。矯正治療を開始するかどうかは、上顎と下顎それぞれに永久歯の前歯4本と奥歯2本、合計12本が生えてきた段階(おおよそ8才頃)で判断することが多いです。その時期に必要であれば、精密検査を行って今後の治療計画(永久歯生え終わった段階までの長期的な計画)を立てていきます。

◯ がついている歯が永久歯
子どもの時期・混合歯列期に
(乳歯と永久歯の両方がある時期)
矯正治療を行う目的
早い時期(主に12才未満)に矯正治療を行うことで、
- 永久歯列期(主に12才以降)に治療を行わなくてもよい場合
- 永久歯列期(主に12才以降)での治療の負担が軽減される場合
- 不正咬合により顎顔面の成長が阻害される、もしくは精神衛生上の問題がある場合
以上の項目に当てはまると判断した場合は治療を勧めます。
歯幅が大きくて土台である顎骨に並ぶスペースが極端に不足している場合や出っ歯などの場合は、ムリな顎の拡大治療はせず、全ての永久歯に生えかわる12歳以降に治療を開始することもあります。

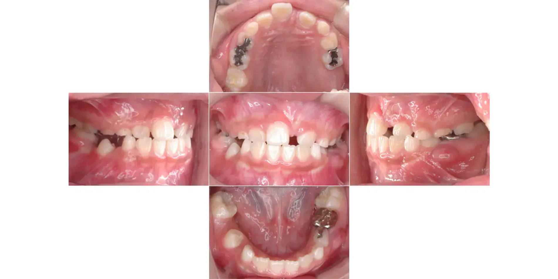
Case
早期の治療をお勧めするかみ合わせの例
反対咬合(受け口)

開咬(前歯が開いている)

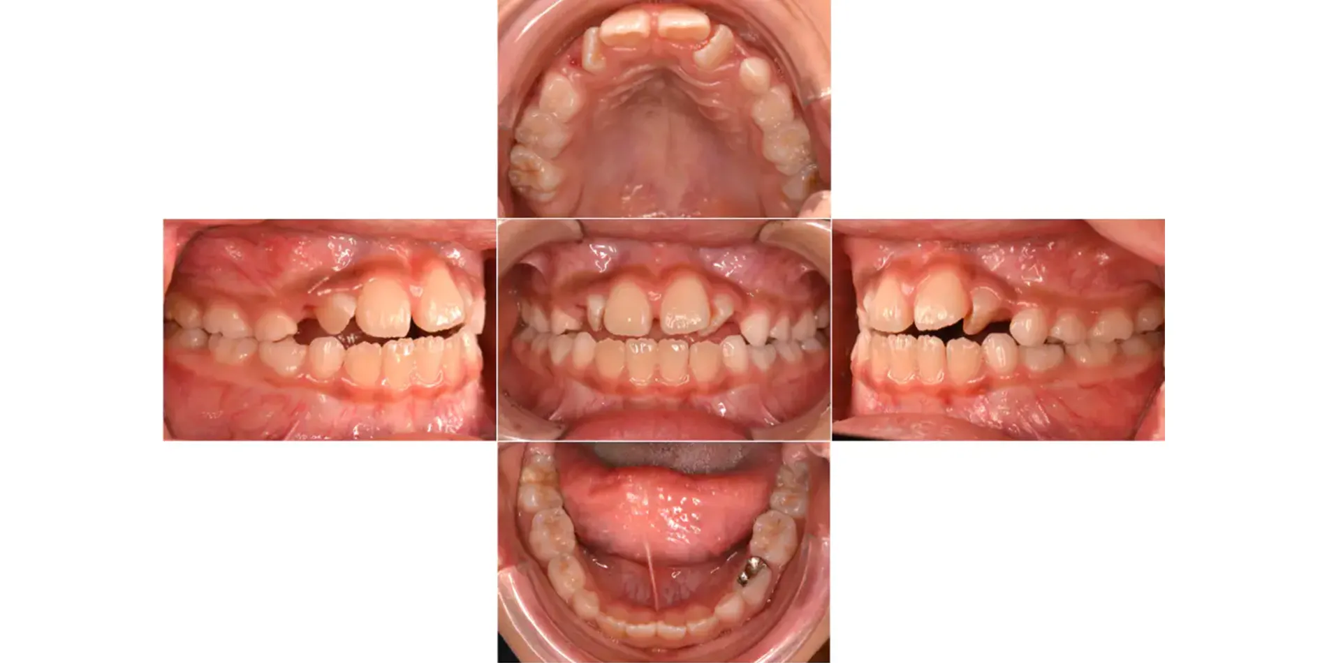
埋伏歯(右上前歯は生えてきたが、反対側が生えてこない)

矯正治療にともなう一般的なリスク・副作用
- 矯正治療の一般的な治療費は60万~150万円、一般的な治療期間は2~3年、一般的な治療回数は24~36回となります。使用する装置、症状や治療の進行状況などにより変化しますので、参考程度にお考えいただき、詳細は歯科医師にご確認ください。
- 機能性や審美性を重視するため、公的健康保険対象外の自費診療となり、保険診療よりも高額になります。
- 最初は矯正装置による不快感、痛みなどがあります。数日から1~2週間で慣れることが多いです。
- 治療期間は症例により異なりますが、成人矯正や永久歯がすべて生えそろっている場合は、一般的に1年半~3年を要します。小児矯正においては、混合歯列期(乳歯と永久歯が混在する時期)に行なう第1期治療で1~2年、永久歯がすべて生えそろったあとに行なう第2期治療で1~2年半を要することがあります。
- 歯の動き方には個人差があるため、治療期間が予想より長期化することがあります。
- 装置や顎間ゴムの扱い方、定期的な通院など、矯正治療では患者さまのご協力がたいへん重要であり、それらが治療結果や治療期間に影響します。
- 治療中は、装置がついているため歯が磨きにくくなります。虫歯や歯周病のリスクが高まるので、丁寧な歯磨きや定期メンテナンスの受診が大切です。また、歯が動くことで見えなかった虫歯が見えるようになることもあります。
- 歯を動かすことにより歯根が吸収され、短くなることがあります。また、歯肉が痩せて下がることがあります。
- ごくまれに、歯が骨と癒着していて歯が動かないことがあります。
- ごくまれに、歯を動かすことで神経に障害を与え、神経が壊死することがあります。
- 治療中に金属などのアレルギー症状が出ることがあります。
- 治療中に、「顎関節で音が鳴る、顎が痛い、口をあけにくい」などの顎関節症状が出ることがあります。
- 問題が生じた場合、当初の治療計画を変更することがあります。
- 歯の形状の修正や、噛み合わせの微調整を行なうことがあります。
- 矯正装置を誤飲する可能性があります。
- 装置を外すときに、エナメル質に微小な亀裂が入る可能性や、補綴物(被せ物など)の一部が破損することがあります。
- 装置を外したあと、保定装置を指示どおりに使用しないと後戻りが生じる可能性が高くなります。
- 装置を外したあと、現在の噛み合わせに合わせて補綴物(被せ物など)の作製や虫歯治療などをやり直す可能性があります。
- 顎の成長発育により、歯並びや噛み合わせが変化する可能性があります。
- 治療後に、親知らずの影響で歯並びや噛み合わせが変化する可能性があります。
- 加齢や歯周病などにより、歯並びや噛み合わせが変化することがあります。
- 矯正治療は、一度始めると元の状態に戻すことが難しくなります。
